Focused Sound Energy Holds Promise for Treating Cancer, Alzheimer’s, and Other Diseases

How focused ultrasound is reshaping modern medicine - offering noninvasive hope for cancer, brain disorders, and beyond.
Image of a scan of a brain tumor.
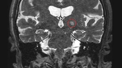
MRI of a patient treated for essential tremor using focused ultrasound, with the targeted part of the brain circled in red. Jmarchn, CC BY-SA 3.0 , via Wikimedia Commons
Author:
MBT Desk
Published on
Updated on

Richard J. Price, University of Virginia

Sound waves at frequencies above the threshold for human hearing are routinely used in medical care. Also known as ultrasound, these sound waves can help clinicians diagnose and monitor disease, and can also provide first glimpses of your newest family members.

And now, patients with conditions ranging from cancer to neurodegenerative diseases like Alzheimer’s may soon benefit from recent advances in this technology.

I am a biomedical engineer who studies how focused ultrasound – the concentration of sound energy into a specific volume – can be fine-tuned to treat various conditions. Over the past few years, this technology has seen significant growth and use in the clinic. And researchers continue to discover new ways to use focused ultrasound to treat disease.

A brief history of focused ultrasound

Ultrasound is generated with a probe containing a material that converts electrical current into vibrations, and vice versa. As ultrasound waves pass through the body, they reflect off the boundaries of different types of tissue. The probe detects these reflections and converts them back into electrical signals that computers can use to create images of those tissues.

Over 80 years ago, scientists found that focusing these ultrasonic waves into a volume about the size of a grain of rice can heat up and destroy brain tissue. This effect is analogous to concentrating sunlight with a magnifying glass to ignite a dry leaf. Early investigators began testing how focused ultrasound could treat neurological disorders, pain and even cancer.

Yet, despite these early findings, technical hurdles stood in the way of applying focused ultrasound in the clinic. For example, because the skull absorbs ultrasound energy, sending focusing beams with high enough energy to reach damaged brain tissue proved difficult. Researchers eventually overcame this problem by integrating large arrays of ultrasound transducers – the probes that convert between electrical signals and vibrations – with image-based information about skull shape and density. This change allowed researchers to better fine-tune the beams to their targets.

It is only after scientists made key advances in imaging technology and acoustic physics in recent years that the promise of ultrasound is being realized in the clinic. Hundreds of clinical trials aimed at treating dozens of conditions have been completed or are ongoing. Researchers have found notable success on a condition called essential tremor, which leads to uncontrolled shaking, usually of the hands. Focused ultrasound treatments for essential tremor are now performed routinely at many locations around the world.

I believe some of the most exciting applications for focused ultrasound include improving drug delivery to the brain, stimulating immune responses against cancer, and treating rare diseases of the central nervous system.

Delivering drugs to the brain

The blood-brain barrier is evolution’s exquisite solution to keeping noxious substances away from this most critical organ. The blood-brain barrier is comprised of very tightly connected cells lining the inside of blood vessels. It only allows certain types of molecules to enter the brain, protecting against pathogens and toxins. However, the blood-brain barrier is problematic when it comes to treating disease because it blocks therapies from reaching their intended target.

More than 20 years ago, pioneering studies determined that sending low-intensity pulses of focused ultrasound could temporarily open the blood-brain barrier by causing microbubbles in blood vessels to oscillate. This oscillation pushes and pulls on the surrounding vessel walls, briefly opening tiny pores that allow drugs in the bloodstream to penetrate into the brain. Critically, the blood-brain barrier opens only where the focused ultrasound is applied.

Focused ultrasound can allow drugs to reach targeted areas of the brain.

After many years of testing the safety of this technique and improving control of ultrasound energy, researchers have developed several devices using focused ultrasound to open the blood-brain barrier for treatment. Clinical trials testing the ability of these devices to deliver drugs to the brain to treat conditions like glioblastoma, brain metastases and Alzheimer’s disease are underway.

In parallel, there has been significant progress in developing gene therapies for numerous brain diseases. Gene therapy involves fixing or replacing faulty genetic material to treat a specific disease. Applying gene therapy to the brain is especially challenging because such therapies typically do not cross the blood-brain barrier.

Animal studies have shown that using focused ultrasound to open the blood-brain barrier can facilitate the delivery of gene therapies to their intended targets in the brain, opening doors to testing this technique in people.

Stimulating immune responses against cancer

Cancer immunotherapy instructs the patient’s own immune system to fight the disease. However, many patients – especially those afflicted with breast cancer, pancreatic cancer and glioblastoma – have tumors that are immunologically “cold,” meaning they are unresponsive to traditional immunotherapies.

Researchers have learned that focused ultrasound can destroy solid tumors in ways that allow the immune system to better recognize and destroy cancer cells. One way focused ultrasound does this is by turning tumors into debris that then literally flows to the lymph nodes. Once immune cells in the lymph nodes encounter this debris, they can initiate an immune response specifically against the cancer.

Inspired by these breakthroughs, the University of Virginia started the world’s first focused ultrasound immuno-oncology center in 2022 to support research in this area and push the most promising approaches to the clinic. For example, my colleagues are running a clinical trial at the center to test the use of focused ultrasound and immunotherapy to treat patients with advanced melanoma.

Treating rare diseases with focused ultrasound

Research on focused ultrasound has primarily focused on the most devastating and prevalent diseases, such as cancer and Alzheimer’s disease. However, I believe that further developments in, and increased use of, focused ultrasound in the clinic will eventually benefit patients with rare diseases.

One rare disease of particular interest for my lab is cerebral cavernous malformation, or CCM. CCMs are lesions in the brain that occur when the cells that make up blood vessels undergo uncontrolled growth. While uncommon, when these lesions grow and hemorrhage, they can cause debilitating neurological symptoms. The most common treatment for CCM is surgical removal of the brain lesions; however, some CCMs are located in brain areas that are difficult to access, creating a risk of side effects. Radiation is another treatment option, but it, too, can lead to serious adverse effects.

We found that using focused ultrasound to open the blood-brain barrier can improve drug delivery to CCMs. Additionally, we also observed that focused ultrasound treatment itself could stop CCMs from growing in mice, even without administering a drug. While we don’t yet understand how focused ultrasound is stabilizing CCMs, abundant research on the safety of using this technique in patients treated for other conditions has allowed neurosurgeons to begin designing clinical trials testing the use of this technique on people with CCM.

With further research and advancements, I am hopeful that focused ultrasound can become a viable treatment option for many devastating rare diseases.

Richard J. Price, Professor of Biomedical Engineering, University of Virginia

This article is republished from The Conversation under a Creative Commons license. Read the original article.

(The Conversation/VK)

Image of a scan of a brain tumor.
Indian-Origin Green Card Holder in ICE Custody Faces Delayed Brain Tumor Surgery Amid Medical Care Denial

Related Stories

No stories found.
logo
Medbound Times
www.medboundtimes.com