Why Prevention of Tuberculosis is Better Than Cure Even Today
While TB rates in the U.S [1]. are low, the disease is on the rise according to the World Health Organization’s 2024 country report [2] for the United States and certain populations are at high risk, such as persons from countries where TB is common and those with little access to health services. Experts emphasize the importance of ongoing research and prevention. Rutgers New Jersey Medical School’s Public Health Research Institute [3], Emerging Pathogens Center [4] (EPC), and the Global Tuberculosis Institute [5] are at the forefront of TB research, prevention, and treatment.
Rajita Bhavaraju, director of global operations for the RePORT International Coordinating Center [6] at EPC, and Jerrold Ellner, director of research innovations and professor of medicine, discuss what TB is, its spread, at-risk populations and the role Rutgers Health continues to play in combating this disease.
What is tuberculosis, how does it spread and what are its symptoms?
Bhavaraju: TB, an ancient disease, is still present today globally. It is the most common cause of death due to an infectious disease.
TB’s spread is airborne. People with active TB disease can expel bacteria into the air. Most TB occurs in the lungs and a small proportion in almost any body part. This latter form, extrapulmonary TB, is generally not contagious.
TB can occur in two forms: infection and active disease.
Infection means that the bacteria that cause TB is in a person’s body and can result in a positive TB skin or blood test. However, there are no symptoms, and the person is not infectious.
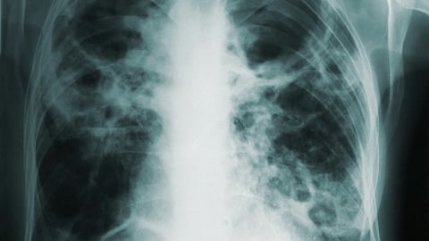
Active TB disease is when TB bacteria multiply and can cause symptoms like cough, night sweats, fever and weight loss. Skin or blood tests will likely be positive and radiography (e.g., chest X-ray or CT scan) will be abnormal.
Who is most at risk for contracting TB?
Bhavaraju: Anyone exposed to a person with TB can get infected. Most will remain infected without disease for the rest of their lives.
Progression to TB disease is most common in people who have weak immune systems, such as those who have HIV/AIDS, are on cancer chemotherapy or are under the age of 5. TB risk is also affected by other conditions like diabetes.
While TB rates are low in the U.S., there are some high-risk settings where regular testing is done, like correctional facilities, homeless shelters and healthcare settings. Most cases of TB in the U.S. occur in non-U.S.-born people who are infected before they immigrate to the U.S.
TB is not a rapid spreader like the common cold or COVID-19. TB is a slow-growing bacteria that spreads only through the air. But if someone has a known exposure to TB disease, they are considered a “contact” and should get medically evaluated.
How is TB treated, and what should people do if they test positive for it?
Bhavaraju: TB infection is treated with a combination of one or two drugs for three to six months. If an immunocompromised person is exposed but not positive to a TB skin or blood test, they should take treatment to prevent progression to active TB disease. Persons with active TB disease are on multiple drugs for at least six months.
People who have had TB infection or disease may test positive forever. These people should have documentation of previous tests and any treatment to avoid being tested and treated again unless they develop symptoms of TB.
Finally, there is a myth that persons from countries where the BCG vaccine [7] for TB is given will always be positive. People who received BCG vaccine should still be tested and treated if they have TB infection.
What do we know about TB outbreaks in U.S.?
Bhavaraju: An outbreak occurs when there are more cases of a disease/condition than expected. Generally, outbreaks are discovered in multiple ways by local or state health departments. If they do not have experienced staff, they can request assistance from the Centers for Disease Control and Prevention [8]. Investigations around TB or any communicable disease are resource-intensive and require steady funding for prevention activities. Health departments are funded to conduct TB exams, contact tracing and free treatment.
What role does Rutgers NJMS play in TB research, treatment and outbreak response?
Ellner: NJMS has been at the forefront of TB care and prevention since the early 1970s, with clinical trials of new medications. In fact, the first TB drug was discovered in 1943 right at Rutgers. NJMS’s involvement includes patient care and research around diagnostics and treatment.
One NJMS group is the coordinating center of RePORT International [9], a global TB research consortium. This program studies persons with TB and their close contacts in eight countries. Using a standardized approach, the consortium’s data can be used to develop new approaches to prevent and care for TB that are generalizable or alternatively to recognize geographic differences that require regional solutions.
March 24 is World Tuberculosis Day. Why is this day significant?
Bhavaraju: World TB Day commemorates the discovery of the TB bacterium by Robert Koch in 1882. This day is used to educate the public about TB. Many advocates also engage with government officials to paint a picture of the TB situation locally to bring about awareness and new initiatives.
References:
1) https://www.cdc.gov/tb-data/index.html
2) https://worldhealthorg.shinyapps.io/tb_profiles/?_inputs_&tab=%22tables%22&lan=%22EN%22&iso2=%22US%22&entity_type=%22country%22
3) https://phri.njms.rutgers.edu/
4) https://njms.rutgers.edu/departments/medicine/infectious_diseases/emerging_pathogens.php
5) https://globaltb.njms.rutgers.edu/
6) https://reportinternational.org/
7) https://www.cdc.gov/tb/hcp/vaccines/index.html
8) https://www.cdc.gov/tb/
9) https://www.google.com/search?client=safari&rls=en&q=RePORT+International&ie=UTF-8&oe=UTF-8
(NewswiseTL)

