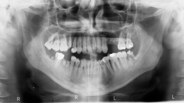
Wisdom tooth and what problems does it cause when not erupted properly. Freeimages
Dentistry

Can Wisdom Tooth Removal Change Your Jawline? Experts Weigh In

Wisdom tooth and what problems does it cause when not erupted properly.

MBT Desk

Problems with the third molar have become increasingly common because:

Earlier, our ancestors consumed raw food, which resulted in larger jaw sizes that could accommodate third molars without causing significant issues. However, due to the modern consumption of processed food, the efficiency of chewing hard and raw food has decreased. This has led to reduced and insufficient development of the retromolar space needed for normal tooth eruption. As a result, the impaction of third molars has become more common. (1)

What are the indications for the removal of third molar:

  • Infections - Recurrent infections such as pericoronitis may develop because of improper positioning of third molar, if left untreated can lead more serious infections.

  • Unrestorable caries - If third molar is carious which involves caries extending till the nerve of the tooth, it necessitates removal of the tooth to relieve the pain.

  • Cyst formation - If there is a cyst beneath the tooth which can expand and cause damage to the bone and surrounding structures, removal is indicated.

  • External resorption of the second molar - Caused by the pressure of the third molar on second molar.

  • Buccoverted impacted molars - Which may cause cheek biting, frictional keratosis.

  • Atypical pain from an unerupted third molar necessitates removal.

What are the contraindications for the removal of third molar:

  • Impacted teeth which will erupt successfully and have a functional role.

  • Medical history contraindicates surgical procedures.

  • Deeply impacted third molars whose removal can cause damage to vital structures.

What are the complications that can occur after the removal of third molar?

  • Swelling

  • Trismus

  • Bleeding

  • Neurologic - lingual nerve damage which can cause paraesthesia of the tongue, inferior alveolar nerve damage which can cause paraesthesis of the lower lip

  • Fractured lingual plate

  • Loss of tooth into submandibular and sublingual space

  • Second molar - hypersensitivity, distal periodontal pocket, gingival recession.

In a recent video that surfaced on the internet, a woman claims her jawline changed after the removal of her wisdom tooth. Is this possible? (1)

  • The woman claims that why did nobody told her that her jawline would go away with her wisdom tooth removal.

  • She says, "its been enough time her face is no longer swollen that's just how her face has become after wisdom tooth removal", because initially swelling occurs after removal because of the inflammation, but it later on subsides after few days, but she says that her face has become permanently round and not swollen even after enough time of her tooth removal.

  • She even said that she would have left the teeth in and suffered had she known that after removal her jawline was gonna go away with the tooth.

MedBound Times contacted Dr. Smit Kapatel (BDS, MDS Oral Surgeon) for his insights on the matter.

Is it possible that after the removal of wisdom tooth it can affect jawline?

Dr. Smit Kapatel: No, it's not possible.

By any chance in any case it can happen as the woman in the video claims her jawline changed after removal?

Dr. Smit Kapatel: In most of the cases it will not affect because tooth is within bone or soft tissue, but I think in rare case when the angulation of tooth and the path of removal is unconventional then it might happen.

Complications like swelling and trismus can occur but medications and exercise help in relieving them.

So, complications like swelling and trismus can occur but medications and exercise help in relieving them.

Note: This content is purely informational and isn’t medical guidance. It shouldn’t replace professional medical counsel. Always consult your physician regarding treatment risks and benefits.

References:

1. Pedlar, Jonathan, and John W. Frame. Oral and Maxillofacial Surgery. 2nd ed. Edinburgh: Churchill Livingstone, 2007. Accessed [Date]. https://www.sciencedirect.com/book/9780443100734/oral-and-maxillofacial-surgery.

By Anam Khan

Unlock Your Best Smile: A Complete Guide to Orthodontic Problems, Modern Treatments, and Expert-Crafted Solutions

Doctor Saves Woman After Family Dismisses Her Symptoms as “Drama” — Finds She Is in Septic Shock

Oxygen Dropped to 80%: Two Doctors Save Cabin Crew Member’s Life Mid Air After Severe Allergic Shock

Pune’s Upcoming Cancer Hospital Set To Become Major Centre for Treatment, Research and Education

Cashless Health Claim Delays Drop Sharply to 0.39% in 2025-26: FM Sitharaman