

By Pete Campbell
Gum disease, also known as periodontal disease, is a common but often preventable condition that affects the gums and supporting structures of the teeth. Left untreated, gum disease can lead to serious oral health problems, including tooth loss and bone deterioration. However, with proper dental care strategies, gum disease can be prevented and effectively treated. In this article, we'll explore the importance of periodontal health and discuss effective dental care strategies for preventing and treating gum disease.
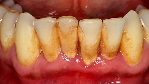
Gum disease is caused by bacterial infection and inflammation of the gums and surrounding tissues. It typically begins with gingivitis, characterized by red, swollen gums that may bleed during brushing or flossing. If left untreated, gingivitis can progress to periodontitis, a more severe form of gum disease that can lead to irreversible damage to the gums and bone that support the teeth.
Preventive dental care plays a crucial role in maintaining periodontal health and preventing gum disease. Some key strategies include:
Regular Dental Check-ups: Regular dental check-ups allow dentists to monitor the health of your gums and detect early signs of gum disease. Dentists can provide professional cleanings to remove plaque and tartar buildup, which can contribute to gum inflammation and disease.
Daily Oral Hygiene Practices: Practicing good oral hygiene at home is essential for preventing gum disease. This includes brushing your teeth at least twice a day with fluoride toothpaste, flossing daily to remove plaque and debris from between the teeth, and using an antiseptic mouthwash to help reduce bacteria in the mouth.
Healthy Lifestyle Choices: Maintaining a healthy lifestyle can also support periodontal health. Avoiding tobacco products, eating a balanced diet rich in fruits and vegetables, and limiting sugary snacks and beverages can help reduce the risk of gum disease.
If gum disease develops, prompt treatment is essential to prevent further damage to the gums and supporting structures of the teeth. Treatment options for gum disease may include:
Scaling and Root Planing: Scaling and root planing is a non-surgical procedure that involves removing plaque and tartar from the surfaces of the teeth and below the gumline, smoothing out rough spots on the roots of the teeth to prevent bacteria from accumulating.
Antibiotic Therapy: Antibiotics may be prescribed to help control bacterial infection and reduce inflammation in the gums. Antibiotics may be taken orally or applied directly to the gums as a mouthwash or gel.
Surgical Intervention: In cases of advanced gum disease, surgical procedures such as flap surgery or bone grafting may be necessary to repair damage to the gums and supporting bone and to restore periodontal health.
Maintaining healthy gums is essential for overall oral health and well-being. In addition to preventing gum disease, periodontal health has been linked to a lower risk of systemic health problems such as heart disease, diabetes, and respiratory infections. By prioritizing periodontal health and practicing effective dental care strategies, individuals can enjoy a lifetime of healthy smiles and better overall health.
Periodontal health is vital for maintaining overall oral health and preventing gum disease. By practicing effective dental care strategies, including regular dental check-ups, daily oral hygiene practices, and healthy lifestyle choices, individuals can protect their gums and reduce the risk of gum disease. For those already affected by gum disease, prompt treatment is essential to prevent further damage and restore periodontal health. By prioritizing periodontal health as part of a comprehensive approach to Dublin dental care Ohio, individuals can enjoy healthy smiles and better overall health for years to come.