Bleeding Gums Could Signal More Than Oral Disease: The Hidden Link Between Periodontitis, Diabetes, and Heart Health

How chronic gum inflammation may silently influence diabetes, cardiovascular disease, and systemic health.
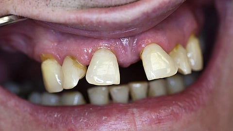
Swollen gums and loose teeth.
Periodontitis is a slow, progressive inflammatory disease of the gums and the bone that hold your teeth in place. Bin im Garten, CC BY-SA 4.0, via Wikimedia Commons
Published on
Updated on

Bleeding gums are often brushed off as a minor inconvenience, some redness, a little swelling, nothing urgent.
But growing evidence suggests that this quiet inflammation may be part of a much larger story, one that affects the whole-body, affecting blood sugar control, damaging blood vessels, and increasing the risk of heart disease.1 

Bleeding gums is mostly due to periodontitis: one of the most common chronic (long-term) inflammatory diseases of the body worldwide, and one of the most underestimated.

What Exactly Is Periodontitis?

Periodontitis is a slow, progressive inflammatory disease of the gums and the bone that hold your teeth in place. These supporting structures include the periodontal ligament (the tiny fibers that anchor the tooth) and the surrounding jawbone.

Periodontitis often begins as gingivitis, which is mild gum inflammation caused by plaque buildup.

Gingivitis may cause redness, swelling, and bleeding when brushing or flossing; but importantly, it is reversible with proper cleaning and professional care.

Gingivitis shown as slight swollen gums and yellow plaque buildup around teeth.
Periodontitis I often begins as gingivitis, which is mild gum inflammation caused by plaque buildup.CC0, via Wikimedia Commons

If left untreated, gingivitis can progress to periodontitis. Unlike gingivitis, the damage from periodontitis is largely permanent. The inflammation spreads deeper, destroying the attachment between the tooth and bone.

Symptoms of Periodontitis

The disease is deceptive and mild in its early stages. Pain is usually absent. Symptoms are subtle like minor bleeding from gums. Destruction occurs silently beneath the gum line, where the gums pull away from the teeth and form deep spaces (called periodontal pockets) that cannot be seen without a dental check-up. By the time teeth loosen or shift position, significant damage has often already occurred.

Symptoms of periodontitis can include:

  • Swollen or puffy gums which is brighter or darker than the normal pink gums

  • Bleeding gums which are tender. Bleeding is normal after and during brushing or flossing

  • Bad breath or halitosis

  • Discharge that might be yellow in color.

  • Loose teeth or loss of teeth.

  • Painful chewing.

  • Spacing between teeth and visible root below the gum line.

Globally, nearly half of adults experience moderate periodontitis, and about 10–15% develop severe disease serious enough to threaten tooth survival.2 Despite its prevalence, many cases remain undiagnosed because early symptoms can be mild.

Illustrative diagram showing healthy and diseased side of teeth.
Destruction occurs silently beneath the gum line, where the gums pull away from the teeth and form deep spaces (called periodontal pockets) that cannot be seen without a dental check-up. NIH Image Gallery from Bethesda, Maryland, USA, Public domain, via Wikimedia Commons

How Is Periodontitis Linked to Diabetes?

People with diabetes are approximately three times more likely to develop periodontitis. Poor blood sugar control intensifies this risk. Higher HbA1c levels (a blood test that shows your average blood sugar over the past three months) are consistently associated with more severe damage to the gums and supporting bone. This applies to both type 1 and type 2 diabetes and has been observed even in children and young adults.

For decades, periodontitis has been described as the “sixth complication of diabetes”, alongside:

  • Diabetic eye disease (retinopathy)

  • Kidney disease (nephropathy)

  • Nerve damage (neuropathy)

  • Poor circulation in the limbs

  • Heart and blood vessel disease

This classification highlights how closely gum disease is intertwined with long-term diabetes complications.

Can Gum Disease Worsen Blood Sugar Control?

The relationship between periodontitis and diabetes is not one-sided, and the relationship works in both directions, each condition can make the other worse.

Periodontitis does not merely occur as a consequence of diabetes; it can actively worsen blood sugar control. Chronic gum inflammation releases inflammatory chemicals into the bloodstream, impairing the body’s response to insulin and contributing to insulin resistance.

Importantly, treating gum disease has been shown to modestly improve blood sugar levels. On average, HbA1c levels decrease by about 0.4% after periodontal treatment. While that number may sound small, in diabetes care it represents a meaningful improvement, similar to the effect of adding another oral diabetes medication.5

In simple terms: healthier gums can help support better blood sugar management.

How Does Periodontitis Affect the Heart and Kidneys?

In people with diabetes, the consequences of untreated periodontal disease extend well beyond the mouth.

Long-term studies show that individuals with severe periodontitis face:

  • About twice the risk of significant protein leakage in the urine (an early sign of kidney damage)

  • Nearly three times the risk of kidney failure requiring dialysis

  • More than three times the risk of dying from combined heart and kidney complications

In practical terms, chronic gum inflammation may quietly accelerate kidney damage and heart disease in already vulnerable individuals.

How? One may question.

The explanation lies in whole-body swelling and the spread of mouth bacteria.

Deep gum pockets (gaps between teeth and gums caused by infection) contain dense communities of bacteria known as sticky bacterial layers.6 As the disease progresses, the protective gum barrier weakens, allowing bacteria and waste products from inflammation to enter the bloodstream.

These mouth bacteria have been detected in:

  • Fatty build-up inside blood vessels

  • Heart valves

  • The lining around the heart

  • The inner lining of blood vessels

Once in the bloodstream, gum disease bacteria and swelling-causing substances can:

  • Damage the inner lining of blood vessels

  • Reduce nitric oxide (a natural chemical that helps blood vessels stay relaxed and open)

  • Increase stiffness of blood vessels

  • Promote build-up and instability of fatty deposits in blood vessels

Many clinical studies have found links between serious gum disease and heart attack, stroke, poor blood circulation in the legs, and heart failure, especially in people who smoke or have diabetes.

While researchers continue to study whether gum disease directly causes these conditions, the biological link is strong and increasingly difficult to ignore. 7

Inflammation: The Common Thread Between Diabetes and Cardiovascular disease

Diabetes, cardiovascular disease, and periodontitis share a common biological pathway: chronic inflammation.

Elevated levels of inflammatory markers, including IL-6, TNF-alpha, and C-reactive protein are observed across all three conditions. These inflammatory molecules:

  • Interfere with insulin signaling

  • Damage blood vessels

  • Accelerate bone loss around teeth

  • Prolong and amplify inflammatory responses

In diabetes, persistently high blood sugar further worsens this process through the formation of advanced glycation end products (AGEs); think of these as sugar-damaged proteins that build up in the body over time. These compounds intensify inflammation and impair tissue repair, particularly in the gums.

Additionally, immune cells (the body's defence soldiers), especially neutrophils may function abnormally in diabetes, allowing inflammation to persist and tissue destruction to continue unchecked.

Risk Factors That Increase Periodontitis Severity

Smoking remains the strongest modifiable risk factor for periodontitis. It reduces blood flow to the gums, impairs immune function, and masks early warning signs such as bleeding.

Obesity, poor diet, and physical inactivity also increase susceptibility, largely through their effects on insulin resistance and systemic inflammation.

Interestingly, higher levels of physical activity have been associated with lower rates of periodontal disease, particularly among non-smokers. This suggests that overall lifestyle habits influence oral health more profoundly than previously appreciated.

Why Treating Periodontitis Matters for Overall Health

Periodontitis is not merely a dental problem. It represents a systemic inflammatory burden.

Ignoring it may lead to:

  • Poorer diabetes control

  • Increased cardiovascular risk

  • Faster progression of kidney disease

  • Reduced quality of life

Addressing it may contribute to:

  • Improved metabolic control

  • Lower inflammatory load

  • Potential protection for the heart and kidneys

 

The Take-Home Message

The mouth is not separate from the body.

Inflamed gums do not remain confined to the oral cavity.

Periodontitis is a hidden infection with far-reaching consequences, quietly linking oral neglect to diabetes complications and cardiovascular disease. Recognizing and treating gum disease should be a routine part of chronic disease management, not an afterthought.

In the long run, protecting the heart and managing diabetes may begin with something deceptively simple: keeping the gums healthy.

References

  1. Kim MY, Pang EK. "Relationship between periodontitis and systemic health conditions: a narrative review." Ewha Medical Journal. 2025 Apr 14;48(2). https://doi.org/10.12771/emj.2025.00101

  2. Preshaw PM, Alba AL, Herrera D, Jepsen S, Konstantinidis A, Makrilakis K, et al. "Periodontitis and diabetes: a two-way relationship." Diabetologia. 2012;55(1):21–31. https://pubmed.ncbi.nlm.nih.gov/22057194/

  3. Löe H. Periodontal disease. "The sixth complication of diabetes mellitus." Diabetes Care. 1993 Jan;16(1):329–34. https://pubmed.ncbi.nlm.nih.gov/8422804/

  4. Santos CMML, Lira-Junior R, Fischer RG, Santos APP, Oliveira BH. "Systemic Antibiotics in Periodontal Treatment of Diabetic Patients: A Systematic Review." PLoS One. 2015;10(12):e0145262. https://pubmed.ncbi.nlm.nih.gov/26693909

  5. Darré L, Vergnes JN, Gourdy P, Sixou M. Efficacy of periodontal treatment on glycaemic control in diabetic patients: A meta-analysis of interventional studies. Diabetes Metab. 2008 Nov;34(5):497–506. https://pubmed.ncbi.nlm.nih.gov/18948050/

  6. Ansai T, Yamamoto E, Awano S, Yu W, Turner AJ, Takehara T. "Effects of periodontopathic bacteria on the expression of endothelin-1 in gingival epithelial cells in adult periodontitis. Clin Sci (Lond). 2002 Aug;103 Suppl 48:327S-331S. https://pubmed.ncbi.nlm.nih.gov/12193115/

  7. Kozarov EV, Dorn BR, Shelburne CE, Dunn WA, Progulske-Fox A. Human atherosclerotic plaque contains viable invasive Actinobacillus actinomycetemcomitans and Porphyromonas gingivalis. Arterioscler Thromb Vasc Biol. 2005 Mar;25(3):e17-18. https://pubmed.ncbi.nlm.nih.gov/15662025/

Related Stories

No stories found.
logo
Medbound Times
www.medboundtimes.com