Tooth Resorption: Causes, Symptoms, and Treatment Options
Introduction:
Resorption is a condition associated with either a physiologic or pathologic process resulting in loss of cementum, dentin, and bone. It can result in loss of tooth structure that can lead to extraction if not treated well. Identifying associative factors and removing etiology are the main requirements to render proper treatment. According to the American Association of Endodontics, resorption is defined as “A condition associated with either a physiologic or a pathologic process resulting in the loss of dentin, cementum, or bone.”
Causes:
Trauma
Periapical pathology
Tumors and cysts
Impacted tooth
Paget’s disease
Hyperthyroidism
Hypothyroidism
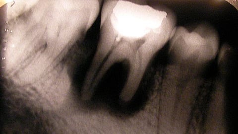
Internal resorption:
According to Shafer, “internal resorption is an unusual form of tooth resorption that begins centrally within the tooth, apparently initiated in most cases by a peculiar inflammation of the pulp.” There will be an oval-shaped enlargement of root canal space.
Clinical features:
It is usually asymptomatic until the root is perforated.
There will be pain when the lesion perforates and tissue is exposed to oral fluids.
Maxillary central incisors are the most commonly affected teeth
It affects both permanent and deciduous teeth
There will be destruction in the crown dentin portion leading to a pink tooth appearance. There will be the presence of granulation tissue that appears as a pink spot.
Radiographic features:
Outline of the lesion: The lesion appears as a round-to-oval radiolucent enlargement of pulp space. There will be distortion in the outline of the root canal.
Types:
Internal replacement resorption
Internal inflammatory resorption
Management:
Conventional root canal treatment
The resorbed area can be filled with the warm gutta-percha technique if the apical third is not involved.
Perforated teeth require both surgical and non-surgical procedures.
Root resection
Intentional replantation
External root resorption:
It is defined as the loss of tooth substance from the outer surface arising from a tissue reaction in periodontal or pericoronal tissue. It is of three types:
Surface resorption
Inflammatory root resorption
Replacement resorption
External resorption is found in the following conditions:
Luxation injuries
Periodontal disease
Turner syndrome
Radiation therapy
Hypoparathyroidism
Hyperparathyroidism
Gaucher disease
Causes:
Indirect physical injury
Trauma: It occurs due to direct mechanical contact of the root surface and alveolar bone proper.
Cervical root resorption:
It is the type of inflammatory root resorption occurring immediately below the epithelial attachment of the tooth.
Causes:
Orthodontic treatment
Trauma
Bleaching of nonvital teeth
Bruxism
Periodontal treatment
Clinical features:
Initially, it is asymptomatic. Pulp is vital in most of the cases
It begins as a small lesion that progresses and reaches the predentin. It spreads laterally in an apical and coronal direction.
There will be extensive loss of tooth structure replaced by granulation tissues.
Radiographic features:
Moth-eaten appearance with an intact outline of the canal.
Treatment:
Topical application of 90% trichloroacetic acid solution that causes coagulation and necrosis of necrotic tissue.
Curettage and restoration with glass ionomer cement are done.
If symptoms of pulpitis persist, endodontic treatment can be done
Conclusion:
Root resorption is a perplexing problem where etiologic factors are less clearly defined. The clinician should have a good knowledge of the ethiopathogenesis of resorptive lesions. Early diagnosis and prompt treatment are the key factors that determine the success of the treatment.
References:
1. AAE Glossary of Endodontic Terms, American Association of Endodontists website, 2014.
2. Gartner AH, Mack T, Somerlott RG, Walsh LC. Differential diagnosis of internal and external root resorption. J Endod.1976; 2(11):329-334

