Tooth Wear Decoded: The Key Differences Between Attrition and Abrasion
Just as all our tissues change over time, our teeth and associated structures in the oral cavity do as well. Tooth wear is a Progressive non-carious loss of dental hard tissue caused by physical or chemical influences, often multifactorial.
Tooth attrition and tooth abrasion are the most common types of tooth wear, both characterized by distinct aetiologies, clinical presentation, and management. Differentiating between these entities is required for the proper diagnosis and effective treatment.
Tooth Attrition
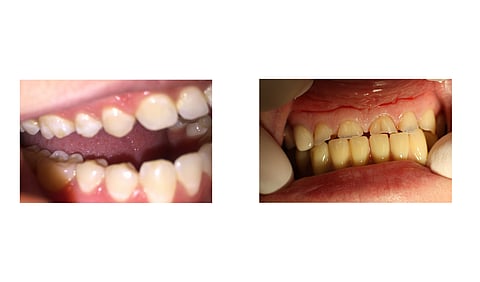
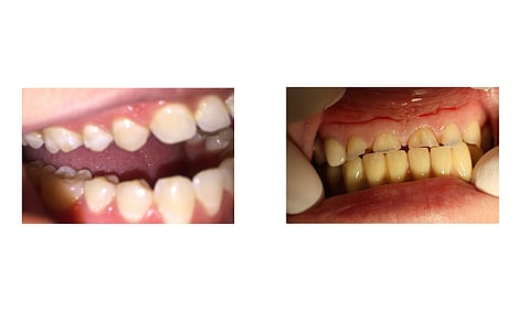
Tooth attrition (1) is a progressive loss of tooth structure by tooth-to-tooth contact. This process is generally physiological and occurs naturally with age, but when excessive, it becomes pathological. Factors such as bruxism (involuntary grinding or clenching of teeth), malocclusion, or certain parafunctional habits can increase attrition. Clinically, attrition is determined by smooth, flat facets on the occlusal or incisal surfaces of teeth. Gradually, this condition progresses to a decrease in vertical dimension, sensitivity, and pulpal exposure or continued failure of restorations.
Tooth Abrasion
Tooth abrasion (3) is caused by external mechanical forces acting on the teeth. The most common source is improper tooth brushing, particularly the use of hard-bristled toothbrushes, abrasive toothpastes or powders, and horizontal scrubbing techniques. Other contributing factors are the frequent use of toothpicks, pen chewing, or abrasive dental products. Abrasion typically manifests as V-shaped notches at the cervical margins (near the gumline), especially on the buccal surfaces of premolars and canines. These lesions are usually smooth and shiny and may or may not be associated with dentinal hypersensitivity.
Bruxism (Excessive attrition)
Bruxism,(2) particularly nocturnal bruxism, plays a pivotal role in excessive tooth attrition. Proven to be linked with conditions like stress, anxiety, sleep disorders, or the use of certain medications such as SSRIs or recreational drugs like MDMA. Symptoms are characterized by morning headaches, jaw stiffness, audible grinding noises (often reported by a sleep partner), and generalized tooth wear. Diagnosis of bruxism is classified into three levels: possible (based on self-report), probable (when clinical signs are present), and definite (confirmed via polysomnography).
Diagnosis
The diagnostic approach to attrition and abrasion involves careful patient history, evaluating risk factors like stress levels, brushing habits, diet, medication use, and sleep quality.
Clinical examination
Attrition presents as wear facets and masseter muscle hypertrophy, while abrasion is localized and often aligns with brushing reach. In both cases, identifying and addressing the underlying behaviour is crucial.
Management
Management of tooth wear, whether from attrition or abrasion, should combine preventive, protective, and restorative strategies.
For attrition related to bruxism, the use of custom-fitted occlusal splints, particularly hard acrylic nightguards, can reduce grinding forces and protect tooth surfaces. Stress management through mindfulness, counseling, and behavioral modification is equally important. Patients are encouraged to adopt the habit of keeping their "lips together, teeth apart" to reduce clenching and minimize muscle tension.
For tooth abrasion, prevention focuses on correcting brushing technique and using appropriate tools. The Modified Bass Technique is recommended, where the brush is held at a 45-degree angle to the gumline, with small, gentle circular motions. Patients should use soft or ultra-soft toothbrushes and limit brushing to twice daily for two minutes. Additionally, they should wait at least 30 minutes after consuming acidic foods or beverages before brushing to avoid compounding erosion and abrasion.
Ideal Toothpaste Selection
Regardless of the wear type, toothpaste selection is key. It should contain fluoride to enhance remineralization and have a low RDA (Relative Dentin Abrasivity) to prevent further damage. Advanced formulations may include ingredients such as nano-hydroxyapatite, arginine, or calcium phosphosilicate, which offer additional remineralizing and desensitizing benefits.
Restorative Treatments
When wear is advanced, restorative treatments become necessary.
For attrition, especially in anterior teeth, direct composite restorations using the Dahl approach can reestablish lost vertical dimension without extensive tooth preparation. In more severe or generalized cases, full coverage crowns may be used, though these should be considered a last resort due to potential risks such as pulp exposure.
For abrasion, mild cases may not require intervention if there is no sensitivity. Moderate lesions can be restored using glass ionomer cement or composite resin, both of which bond well and offer good aesthetics. Severe cases, especially those involving the pulp, may require root canal therapy followed by crown placement.
Dentin Hypersensitivity
Dentin hypersensitivity is a common complaint in both attrition and abrasion, stemming from exposed dentinal tubules. Management includes the use of desensitizing toothpastes with stannous fluoride, nano-hydroxyapatite, or strontium acetate. For persistent sensitivity, dental bonding agents or diode laser treatments may be used to seal the tubules effectively.
Recognizing Abfraction
It's also important to recognize abfraction lesions, which may present similarly to abrasion but are believed to result from biomechanical flexural forces at the cervical margins, often from occlusal stress and bruxism. These wedge-shaped defects typically affect single teeth, usually premolars, and may require both occlusal adjustments and restorative interventions.
Preventive Measures
These include stress reduction techniques like yoga and meditation, avoidance of chewing hard objects, use of warm compresses on the jaw muscles, and consistent use of nightguards where indicated. Proper oral hygiene education remains a cornerstone in preventing further damage from abrasion.
In the long term, patients with bruxism or significant tooth wear require regular follow-up, ongoing assessment of occlusion and restorations, and reinforcement of preventive behaviors. Medbound Times Connected to Dr Neelima for her insights regarding the topic.
Minimally invasive dentistry should always be the goal, avoiding unnecessary removal of tooth structure. Finally, patients can be empowered through self-help measures, like meditation.
Dr Neelima Narayanan, Consultant Endodontist and Root Canal Specialist
References:
NHS. “Teeth Grinding (Bruxism).” NHS, last reviewed June 27, 2022. Accessed May 23, 2025. https://www.nhs.uk/conditions/teeth-grinding/.
StatPearls. “Bruxism Management.” StatPearls, last updated April 2024. Accessed May 23, 2025. https://www.ncbi.nlm.nih.gov/books/NBK482466/.NCBI
Aljulayfi, Ibrahim S. “Management of Prosthodontic Challenges in Tooth Wear Cases: A Narrative Review.” Journal of Pharmacy and Bioallied Sciences 16, no. Suppl 5 (December 2024): S4235–S4238. https://journals.lww.com/jpbs/fulltext/2024/16005/management_of_prosthodontic_challenges_in_tooth.9.aspx.
By Dr. Anjaly KTK, BDS
MSM/TLT

