

Our skin serves as the body's protective barrier, but without proper care, it can become prone to serious conditions like cancer.
The global incidence of cancer, including skin cancer, is rising day by day. The All India Institute of Medical Sciences (AIIMS), Delhi, treats 5 to 6 patients with skin cancer in a month.
To address this growing issue, AIIMS Delhi has introduced a new surgery for skin cancer treatment. This new facility was inaugurated on Saturday by Professor M. Srinivas, who is the Director of AIIMS Hospital. This new facility confirms that patients no longer need to seek treatment abroad.
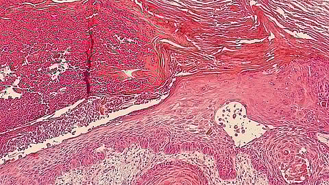
Head of the Department of Dermatology at AIIMS, Dr. Kaushal Verma, explains that the surgery, known as Mohs micrographic surgery, offers precise tumor removal with minimal damage to healthy tissue. This technique, previously not available in India, promises improved healing and lower recurrence rates.
AIIMS Delhi is the first hospital in India to offer this surgery for skin cancer. AIIMS Delhi, with its large number of patients, provides comprehensive care for cancer patients through various specialties.
On average, the hospital sees about five to six skin cancer patients every month, who are treated by specialists from different departments, including dermatology, surgery, and oncology, Dr. Kaushal pointed out. Earlier, patients had to travel abroad for this specialized treatment.
AIIMS Delhi has established itself as a center for advanced cancer care. It aligns with its commitment to providing world-class treatment. This is with the assistance of a team of six surgeons and three technicians from the USA.
Dr. Kaushal emphasized the benefits of Mohs micrographic surgery, highlighting its ability to precisely remove cancerous tissue while preserving normal skin. Compared to conventional procedures, this results in smaller defects and improved cosmetic outcomes.
Additionally, Dr. Kaushal underlined the importance of early detection and urged people to consult a doctor if they notice any rapidly growing, painful, or bleeding skin spots.
(Input from various sources)
(Rehash/Komal Bhoi/MSM)