

Generally, it is said to show no symptoms in the early stages and if it is ignored with no treatment, it could result in more serious problems.
Reasons for getting fatty liver:
Sudden weight loss is associated with a crash diet and bariatric surgery can rapidly release the fat that is stored in the bloodstream
Dietary conditions include a diet rich in saturated fats, refined sugars, and processed foods
Obesity and metabolic syndrome: Excessive fat accumulation around the abdomen increases the chance of fat deposition in the liver. Obesity is considered to be a risk factor for fatty liver.
Genetics: It is important in determining the individual's susceptibility to fatty liver disease. Some individuals have genetic variations in them for the metabolism of fats and storage.
Alcohol consumption: Excessive alcohol consumption can lead to alcohol-fatty liver disease.
What is the mechanism behind the fatty liver?
The development of inflammation and progression is triggered by multiple stressors.
The factors that influence the progression of the condition include:
Lipotoxicity
Endoplasmic reticulum (ER) stress
Mitochondrial dysfunction
Oxidative stress
Gut endotoxins
Microbiota
An increased load of lipids could result in inflammation, lipotoxicity, oxidative stress, and fibrosis.
High-calorie- rich diet, western lifestyle, and lack of physical exercise could lead to accumulation of fat around the abdomen region which could lead to fat accumulation within the healthy liver.
The dietary fats within the healthy liver are broken down to free fatty acids(FA), increased overload of free FA, uncoupling respiration from ATP production might cause the release of Reactive oxygen species(ROS) and MASH (Metabolic Dysfunction -Associated Steatohepatitis- defined liver inflammation and damage caused by the accumulation of fat in the liver).(1)
Diagnosis
Diagnosing a fatty liver involves a combination of medical history assessment, physical examination, blood tests, imaging tests, and, in some cases, liver biopsy.
1. Medical history and physical examination: Healthcare providers begin by taking complete medical history including information about lifestyle changes, alcohol consumption, and known risk factors.
2. Liver tests measure the liver enzymes including Alanine transaminase(ALT) and aspartate transaminase(AST)
3. Blood tests include complete blood count along with iron studies to know how much iron is present in blood and other cells. Tests for chronic viral hepatitis (hepatitis A, hepatitis C, and others), Celiac disease screening tests, Fasting blood sugar, and Hemoglobin A1C, help to identify how stable your blood sugar is, Lipid profile, to measure blood fats, such as cholesterol and triglycerides.(4)
4. Ultrasonography is considered to be the first imaging technique. This technique helps reveal the presence of fat in the liver.
5. Computed tomography(CT) and magnetic resonance imaging( MRI) offer detailed views of the liver and help assess the extent of liver damage and fibrosis in cirrhosis.
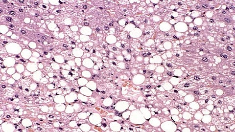
6. A liver biopsy is recommended to confirm the biopsy and assess the extent of liver damage. (2)
Physical exercise helps in burning excess fat, improving insulin sensitivity, and improving overall health. Dietary changes help in making the liver healthy. A diet that promotes good liver health is to be followed.
Treatment
It aims to weight loss by doing exercise and diet. This is to reduce the risk of complications. The strategies for treatment include as following: (1)
1. Lifestyle modifications
Lifestyle changes include dietary modifications, weight management, physical activity, and alcohol avoidance.
Physical exercise helps in burning excess fat, improving insulin sensitivity, and improving overall health.
Dietary changes help in making the liver healthy. A diet that promotes good liver health is to be followed.
Consumption of anti-oxidants and Omega-rich fatty acids could promote good health.
Soya protein
Green tea
Whole grains
Olive oil
Flax seeds
Walnuts
Fish including sardines and salmons
A diet that should be avoided to promote healthy liver:
High sugar-containing foods like candies, soda, and doughnuts.
Bakery items
Deep fried foods
Processed cheese
Beef
Red meat
The change in dietary consumption could not only prevent fatty liver but also prevent further complications. People who are obese should reduce weight either through diet or weight loss surgery.
2. Weight loss surgery
In severe cases of obesity-related fatty liver, weight loss surgeries are recommended by promoting liver health with significant weight loss.
3. Management of underlying conditions
If a fatty liver condition coincides with other medical-related issues like diabetes, hypertension, high cholesterol, or any medically compromised conditions, it should be monitored thoroughly.
Medication, lifestyle changes, and regular monitoring are essential.(3)
Generally, fatty liver goes undiagnosed in its early stages, as most people do not show symptoms. So, identifying the early symptoms is crucial for managing and preventing complications.
Dr. Saurabh Sethi, a gastroenterologist, recently shared on his Instagram post five telltale signs of fatty liver that you can easily check at home.
Five telltale signs of Fatty Liver: Weight gain around the midsection, Constant tiredness or fatigue, discomfort or pain below the ribcage, skin issues, nausea or loss of appetite.
Dr. Saurabh Sethi, Gasteroenterologist
Dr. Saurabh Sethi explained simple ways to identify potential symptoms and early detection of symptoms is good for liver health.
Signs that are to be considered
1. Weight gain around the midsection: Insulin resistance is linked to a fatty liver often causes weight to accumulate around the abdomen.
2. Constant tiredness or fatigue: If you are feeling exhausted all the time, it could indicate that your liver is struggling.
3. Discomfort or pain below the right rib cage: Pain or discomfort in this area may be a sign of inflammation.
4. Skin issues: Insulin resistance along with fatty liver can lead to darkened skin folds, acne, or hair loss.
5. Nausea and loss of appetite: These symptoms may indicate that your liver is overwhelmed.
By considering these signs we need to safeguard liver health and potentially we can avoid more serious complications.
Summary
A fatty liver is the accumulation of fat within the liver that could lead to inflammation and progression of the condition. Lifestyle is very important to be considered, healthy lifestyle could result in fitness and make us stay away from fatty liver, or prevent the progression of the condition. Individuals with fatty liver must follow regular checkups with health care provider to monitor liver function and adjust treatment plans as needed. Dr Saurabh Sethi, a gastroenterologist explains that identifying early signs of fatty liver at home is helpful in monitoring us at home which could help us prevent progression of fatty liver.
References:
Nassir F. 2022. NAFLD: Mechanisms, Treatments, and Biomarkers. Biomolecules, 12(6), 824. https://doi.org/10.3390/biom12060824
https://pmc.ncbi.nlm.nih.gov/articles/PMC9221336/#sec6-biomolecules-12-00824 Accessed January 21, 2024
Saroj group of hospitals (Blog). 2023. Fatty Liver Disease: Causes, Symptoms, Diagnosis and Treatment. September 12, 2023.
https://www.sarojhospital.com/blog/fatty-liver-causes-symptoms-diagnosis-and-treatment Accessed January 21, 2024
Kims Health Cancer Center ( Blog).
https://www.kimscancercenter.com/blog/fatty-liver-what-it-and-how-overcome-it/
Accessed January 21, 2024
Mayo Clinic (Blog). Non Alcoholic Fatty Liver Disease. April 24, 2024.
https://www.mayoclinic.org/diseases-conditions/nonalcoholic-fatty-liver-disease/diagnosis-treatment/drc-20354573
Accessed January 21, 2024
Dr Saurabh Sethi, a gastroenterologist. 5 Signs of Fatty Liver You Can Check at Home ‼️ Doctor Sethi.
https://www.instagram.com/p/DE