Natal teeth are uncommon but not extremely rare, occurring in roughly 1 in 1,000 newborns, though the combination of multiple natal teeth and missing permanent teeth seen in Graham’s family is far rarer. Kitakawa et al. - Wikimedia commons
Dentistry

Doctor Solves 150-Year Family Mystery of Natal Teeth and Missing Teeth With Rare Genetic Mutation

A Cedars-Sinai physician traced a rare inherited dental condition affecting his family for generations to a mutation in the KDF1 gene.

Author : Dr. Theresa Lily Thomas

A decades-long medical mystery affecting multiple generations of a family has been traced to a specific genetic mutation after a physician investigated his own inherited dental condition. The discovery, made by Dr. John M. Graham Jr. and colleagues at Cedars-Sinai Medical Center, identified a mutation in the KDF1 gene linked to a rare combination of natal teeth and tooth agenesis, a condition in which some permanent teeth fail to develop.

The findings were published in the International Dental Journal and represent the first study to directly link a KDF1 gene variant to the combination of multiple natal teeth, tooth agenesis, and abnormal root development in humans.

A Family History of Unusual Dental Traits

Dr. Graham, a professor of medical genetics and pediatrics, grew up with a rare dental condition seen in several members of his family across five generations. Many relatives were born with natal teeth, teeth present at birth that were fragile and fell out shortly afterward. In some cases, the adult teeth that would normally replace them never developed, a disorder known as tooth agenesis.

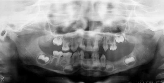
In Graham’s case, the natal teeth were described as thin and poorly formed, lacking proper root development, which caused them to fall out shortly after birth.

Natal teeth are uncommon but not extremely rare, occurring in roughly 1 in 1,000 newborns, though the combination of multiple natal teeth and missing permanent teeth seen in Graham’s family is far rarer.

The condition affected numerous family members, including Graham’s mother, siblings, children and even grandchildren. His mother wore dentures for much of her life, while Graham himself required extensive dental procedures and implants to manage the missing teeth.

The dental trait in the family appears to have been inherited in an autosomal dominant pattern and has been traced through approximately 150 years of family history beginning with Graham’s maternal grandfather.

Two of Graham’s three sons were also born with natal teeth, and one of his granddaughters has shown signs of the same condition.

The Long Search for a Genetic Cause

Suspecting that the condition was inherited, Graham pursued a career in genetics partly to understand the cause of his family’s unusual dental trait. Early attempts to identify the mutation were unsuccessful because older sequencing technologies could not reliably pinpoint the responsible gene among the roughly 20,000 genes in the human genome.

Years later, advances in genomic technology allowed Graham and collaborator Pedro A. Sanchez-Lara to revisit the investigation. The researchers compared DNA samples from affected and unaffected family members using whole-genome sequencing, a method that analyzes a person’s entire DNA sequence.

This approach ultimately revealed a mutation in the KDF1 gene (keratinocyte differentiation factor 1), a gene involved in the development of skin and tooth structures.

Further analysis confirmed that the mutation appeared in multiple family members with the dental condition but was absent in relatives without it. The findings were reported in the International Dental Journal.

Anodontia is a rare genetic diseases that causes you to not have any teeth.

How the Mutation Affects Tooth Development

Computer modeling suggested that the mutation changes a critical building block in the KDF1 protein, altering its structure and potentially disrupting its role in tooth development. This disruption can lead to abnormal tooth formation, including multiple natal teeth, missing permanent teeth, and root maldevelopment.

Researchers believe the altered gene interferes with cellular processes that regulate how tissues such as teeth develop and differentiate during early growth.

Potential Benefits Beyond Diagnosis

Although the discovery does not yet provide a cure for tooth agenesis, identifying the genetic cause has several potential benefits. It may allow for earlier diagnosis and genetic counseling for affected families, helping clinicians anticipate dental problems before they arise.

Experts say that infants born with natal teeth may benefit from early dental monitoring because the presence of natal teeth could signal the possibility of missing permanent teeth later in childhood.

The findings could also influence insurance coverage discussions. Dental implants required to replace missing teeth are often considered cosmetic procedures and may not be covered by insurance. However, demonstrating that the condition has a clear genetic basis could strengthen arguments that treatment is medically necessary rather than elective.

Tooth agenesis can also affect feeding in infancy, speech development, appearance, and self-confidence, highlighting the importance of early identification and long-term dental planning for affected individuals.

While a definitive treatment for this rare genetic condition remains unavailable, the identification of the KDF1 mutation marks an important step toward improved diagnosis, better patient advocacy, and deeper insights into the genetic biology of teeth.

Reference:

1. Graham, J. M., Sanchez-Lara, P. A., Ohazama, A., Kawasaki, K., Arold, S. T., & Kantaputra, P. N. (2025). A novel KDF1 variant is associated with multiple natal teeth, tooth agenesis, and Root Maldevelopment. International Dental Journal75(4), 100860. https://doi.org/10.1016/j.identj.2025.100860

(Rh/TL/MSM)

Food Stamp Work Rules Don’t Increase Employment, Researchers Say

UT Southwestern Molecular Biologist Kim Orth, Ph.D., Elected to American Academy of Arts and Sciences

Rural Youth Face Elevated Firearm Risk and Mental Health Challenges

Noninvasive Proton Beam Therapy May Help Treat Dangerous Heart Rhythm Disorder

Dog Bite First Aid: What To Do in the First 24 Hours to Prevent Rabies